狗狗懒惰不想动,行动缓慢,多是腰椎出现了问题,主人要重视
导读:生活中,当我们的狗狗趴在窝里不管主人怎么呼唤都不愿意动,或者它行动起来比较费力,这个时候你应当引起重视了,要是不是上了年纪的狗狗,那么它多是腰椎出现问题了。就像我们人类一样,腰间盘的毛病疼起来一样,疼痛难安。那么狗狗腰椎问题(腰椎综合征)都会有什么表现呢?应当怎样治疗呢?

首先我们应当了解一下什么是腰椎综合征(脊柱变形),这是一种发生在下背部腰椎部的疾病,是由椎管变窄,会导致脊神经根部受压引起的。这类病情一般出现在身体长,腿短的狗狗身上,比如柯基、腊肠等这类体型犬中。
导致腰椎综合征的原因
神经根受压可由关节炎、椎间盘突出、椎间盘感染、外伤、脊柱肿瘤引起的先天性畸形或椎管狭窄引起。最常见的是关节炎和椎间盘突出症。
腰椎出现问题临床症状是什么?
当脊椎不稳时,狗狗的运动会出现问题,就会导致脊髓和肌肉发炎。当对下背部的肌肉施加压力时,狗狗会很痛苦,它们一般会出现哼哼或者停止不动。
狗慢慢地站在躺下的位置。
后腿无力,尾巴下垂
大小便失禁
狗舔病变的位置
如果不及时接受治疗,腰间的盘子有可能破裂,狗走路失去协调感,后腿有可能瘫痪。
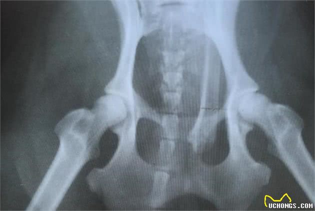
诊断
X光片可以检测到腰椎区域的非特异性关节改变,这是常见的,可能没有任何迹象。如果椎间盘破裂,可见椎间盘间隙变窄或紧贴脊髓。
如有必要,医生建议做脊髓造影,可以看到脊髓承受的压力。当然,CT、核磁共振也可以诊断腰椎问题。
治疗
两种治疗方案,保守治疗,手术治疗,这要根据狗狗腰椎的严重程度而决定。
保守治疗首先要考虑的是减轻狗的体重。因为体重会加重背部的不适。其次,让狗充分休息,把狗放进笼子里,缩小行动空间,减少行走。一般兽医给狗开消炎药、止痛药,缓解疼痛改善症状。
如果保守治疗不理想,狗有复发或神经症状(虚弱,瘫痪),必须通过手术治疗。当椎间盘破裂时,医生通常会考虑切除狗的背椎板,以减少椎间盘的膨胀和破裂腰椎间盘的压力。手术可以看到并确定狗是否有脊柱肿瘤或外伤引起的椎管狭窄。当腰椎间盘上的压力释放后,狗的腿会慢慢恢复知觉。如何预防腰椎疾病的发生?
平时抱狗的时候,用手抬起狗的背,不要让狗的背承受重量。
平时使用缓冲牵引绳,有助于减轻狗走路时腰部的冲击。
爬楼梯,高处跳下,这类运动行为都会损害到狗狗的腰部,要杜绝。
狗的体重也要控制,不要让狗胖。

总结:要是狗狗腰椎出现问题要及时就诊,症状不严重能够靠药物保守治疗。要是出现腰椎盘破裂容易出现瘫痪,就需要手术了,所以要在最好的时间选择救治。希望以上内容对你有帮助。

我是涂小晓,欢迎留言分享您身边的宠物趣事!
了解更多,关注我们,持续更新更多有趣有料的宠物小知识!

