肥大性骨营养不良是什么疾病?病犬饱受痛苦,铲屎官需细心护理
导读:肥大性骨营养不良(HOD)是一种全身发育非脓性炎性骨病。该疾病主要影响大型和巨型的幼犬,集中于4-8月龄较多。肥大性骨营养不良会令到身体处于发炎状态,能够影响肺部、胃肠部和皮肤。
养小狗的朋友一定要熟悉健康小狗的正常成长速度,特别是当它们还是小狗的时候,成长速度是最快的。到了一定年龄,它会慢慢停止。然而,对于一些幼犬和幼犬来说,在青春期快速生长并不是一件好事,特别是在大型或巨型品种的幼犬中,它们大多在骨生长板内发炎,导致肥大性骨营养不良(hod)。
(注:以下简称HOD)
HOD通常是一种自限性疾病,没有永久性副作用。不过在极少数情况下,疾病很有可能会令生长板永久损坏,导致腿部变形。
顾客陈先生的家人养了5个月的金毛猎犬。他的邻居通常每天给他高质量的狗粮和营养补充。大约一个月后,金毛犬跛行,非常不喜欢运动,在成像过程中,发现金毛犬的生长板逐渐钙化,桡骨和尺骨有明显的压痛。经过精细检查,诊断为肥大性骨营养不良。

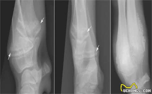
5个月大的肥大性骨营养不良大丹犬尺骨X光片
什么是肥大性骨营养不良?乍一听,以为是主人喂食过少引起营养不良。实则不是。
肥大性骨营养不良又称骨质不良、巴洛病或莫勒巴洛病。最早出现在1930年代中期的文献记录中,发病部位通常集中在桡骨周围的生长板、尺骨、胫骨等长骨干髁端。虽然主要影响前两条腿,但也可能发生在爪、肋、下颌。
这通常在刚出生的头几个月内可以看到,但是有些小狗在2~3岁之前不会出现征兆。这是一种非常痛苦的疾病,可能会使小狗的腿非常肿胀,甚至会造成严重的伤害,导致永久性的障碍。
据临床报道,以下品种通常是最脆弱的:大丹犬、爱尔兰狼犬、圣伯纳犬、拳师犬、达尔马提亚犬、爱尔兰红白猎犬、杜宾犬、德国牧羊犬、拉布拉多犬、牧羊犬、狮子、百吉杜犬和一些猎犬。
肥大性骨营养不良的病因
目前还不能确定骨快速成长的原因,但总结如下:
1、小狗身体内的维生素C不足。该疾病最初被称为犬骨骼坏血病,是因为它与人类婴儿骨骼坏血病具有某些临床和放射学类似的地方。一些病犬体内肝脏和小肠中合成维生素C的能力降低,以及在某些临床病例中自发恢复到“正常”值,和在某些临床情况下对维生素C治疗起了明显“迅速”的恢复反应,在很大程度上起到了一定影响。
2、多是对某些免疫接种(例如狗瘟热病毒免疫接种)的严重反应。有一些研究表明,使用改良的活疫苗后,肥大性骨营养不良的病例数量增加。可是,这只是推测,因为免疫接种恰逢许多狗的快速生长年龄。
3、过量摄取矿物质或者维生素D等营养补充剂。
4、最后的理论归咎于幼犬的饮食。成长中的幼犬倾向于吃蛋白质和卡路里含量高的食物,这可能会导致生长过快。
侥幸的是,这类疾病是能够自我调节的,一旦骨骼完成生长,绝大数狗的症状和体征就会消失,不会出现长久不能康复的问题。
但不幸的是,肥大性骨营养不良的病因还没有得到全面的了解,这使得该病难以预防。
可我们知道的是,年龄在4个月至3岁之间的大型犬和巨型犬受到的影响最大,特别是雄性。
肥大性骨营养不良的症状是怎么样的?
刚开始时,主人可能只注意到小狗有轻微的跛行感,接触患处时小狗会感到疼痛。随着疾病的发展,症状会更加明显。
前腿(生长板附近)疼痛和肿胀是最明显的症状,但这取决于疾病的严重程度。然而,在更严重的情况下,幼犬表现出厌食、体重减轻、发烧和抑郁、无法站立、脊柱弯曲和四肢无法承受重量。
其他体征可能包括发烧、食欲不振、嗜睡、皮肤结节、腹泻、眼分泌物和鼻分泌物。这种病痛起来是两边对称的疼痛,症状期约为一周,通常自愿缓解。
诊断步骤是如何的?
肥大性骨营养不良的诊断通常以体检、血检和x线检查为基础。为了正确诊断hod,兽医会进行完整的体检,获得狗狗的详细健康史。体格检查可以发现上述临床症状。
全血细胞计数以筛查小狗体内是否存在疾病,是否感染,发炎,贫血和其他与血液有关的疾病。
但最重要还是依靠X光线检查报告为主。
X光线通常显示病变骨头的变化,例如与生长板平行线的外观,骨密度的变化以及生长板周围的钙化。
此外,兽医可能需要更准确的诊断检查。这些检查可能包括:
化学测试以评价肾脏,肝脏和胰腺功能以及血糖水平。
尿液检查可筛查尿道感染和其他疾病,并评价肾脏浓缩尿液的能力。
治疗方法有哪些?(重点)
如果疾病非常严重,兽医建议小狗住院治疗,直到可以自己喝水和行动。
而HOD的治疗通常涉及非甾体类抗炎药物,如卓比林,止痛药(即曲马多)和皮质类固醇(即泼尼松)以帮助缓解关节疼痛和肿胀。因为没有完全治愈方法,并且它是自我限制的,所以治疗的主要目标是缓解疼痛。
脱水的小狗可能需要静脉注射治疗。正常饮食中可以添加维生素B和维生素E,也可以用沙沙粉对狗的软骨进行保护。幼犬合理的饮食需要每天每公斤体重摄入530mg钙和440mg磷。不要喂大量难以消化的动物内脏。
建议休息一下。几周后,大多数幼犬开始好转。
肥大性骨营养不良的预后怎么样
预后结果取决于疾病的严重程度。
大多数幼犬都能很好地恢复,而且在生长板关闭后很少再出现。但如果狗太老不能治疗,狗可能会有永久性的手脚弯曲畸形。
一旦狗狗成年,它们有望完全恢复,但它们经常复发,直到它们关闭。
预防虽然对霍德的病因还没有完全了解,但相信与高蛋白饮食和维生素c有关,霍德的病因还不清楚,很难预防霍德的发生。可以明确的是,饲主应尽量避免食用营养添加剂。只要饮食合理,通常不需要额外的添加剂。
( 本文图片来源于网络,侵删)

