夏季炎热,狗狗便血而亡,元凶藏在这里!你家狗也会有
大概很多养狗的主人都知道,狗狗是很喜欢在草丛里自由乱窜的小可爱。草丛里藏匿了一个身体娇小但是有致命杀伤力的生物——蜱虫
蜱虫有多可怕呢?如果蜱虫咬到了人,会患莱姆病。咱们非常喜欢的一位加拿大摇滚歌手艾薇儿,曾经就是因为患上莱姆病,悄悄隐退。
2010年9月就有专题报道蜱虫咬人致死的病例。
蜱是狗的精致杀手。
虫子叮咬 狗狗便血而亡?
狗被蜱叮咬,只是吸点血,伤皮肤这么简单吗?
不!被蜱虫叮咬,还可能会导致狗狗便血死亡!
小跟班巴贝斯虫
蜱寄生是为了吸血,损害宠物的身体。叮咬导致狗死亡的原因不是蜱本身,而是一个隐藏的杀手巴贝斯虫。
巴贝斯虫:俗称血焦虫,是一种在血液寄生原虫,平时寄生在蜱虫体内,可以在蜱虫身体里大量繁殖,当蜱虫叮咬狗狗候,趁虚而入。寄生于狗狗的红细胞中,造成红细胞破裂损伤,导致狗狗发生严重的溶血反应,狗狗很容易因为贫血而死亡;一旦感染巴贝斯虫,狗狗发病快,死亡率也高。狗狗感染的巴贝斯虫主要有犬巴贝斯虫(Babesia canis)、吉氏巴贝斯虫(B. gibsoni)两种。
感染巴贝斯虫 症状早发现
发现狗被蜱叮咬,不要,不要以为拔蜱就好了。蜱作为巴贝斯虫的传播媒介,被叮咬有感染的风险!
在做了体外驱虫后的1个月内有外出都要时刻注意狗狗的情况;巴贝斯虫病潜伏期从数天到数周,疾病发展也呈慢性经过,很容易被狗狗家长忽略。
早发现治疗快速解决问题
1.发热:发病初期出现持续发热,在2~3天内,可达到40℃~43℃。
2.狗情绪低落,食欲不振,呼吸困难。
3.贫血:狗狗的牙龈和眼睑颜色逐渐变苍白。
4.尿液粪便颜色加深:尿液颜色呈深黄色和酱油色,便便也会变成褐色 。
血尿颜色
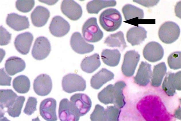
检查确诊如果狗有症状,结合症状,被蜱叮咬,发现巴贝斯虫并不难,
一般做血常规、血涂片显微镜检查,以及实验室PCR检查能确诊。
感染巴贝斯虫的狗进行血常规检查,红细胞数量、红细胞比例和血红蛋白量急剧下降。
狗狗症状明显期,通过光学显微镜血涂片进行虫体检查,能在显微镜下清晰地看到巴贝斯虫
存在。
如何治疗
狗确诊后需要及时治疗,临床上有针对性的抗梨形虫药物和抗生素,支持治疗,采用综合治疗,严重病例还需要输血。
抗巴贝斯虫:三氮胺
抗生素:克林霉素、强力霉素、阿奇霉素
预防最重要 远离巴贝斯虫虽然巴贝斯虫可以治疗,但治疗药物对狗有害,不能完全杀死,即使治愈也有复发的可能性,如果母狗也会通过胎盘感染小狗,所以预防是最重要的措施。
蜱虫是巴贝斯虫的主要传播者,所以该病的发生、发展、分布与蜱的地域分布和活动季节密切相关。
春、夏、秋季都不安全
一年中的春、夏、秋属于巴贝斯虫的多发季节,也是蜱的活跃季节。主要时间段为每年5月初至11月。只要能滋生蜱,疾病就可能传播。
这些地区特别注意
预防巴贝斯虫,还要注意蜱虫高发的地区,我国高发区域在河南、湖北、安徽、江苏等中部地区;以及东部的山东、福建以及广州等地区。这些地区的养宠家长,带狗狗外出一定做好预防工作。
防叮咬 X蜱虫
警惕接触蜱虫
避免去城市绿化带,或树木茂盛的地方,开车出去玩,也不要让狗呆在潮湿的环境中,可以穿雨衣或防护服,回家后检查身体。

定期体外驱虫防范
平时要做好体外驱虫工作,选择能驱蜱的体外驱虫药。
福来恩:滴剂杀灭体表蜱虫,喷剂可快速触杀大量蜱。
尼可信:口服药作用于体表,可有效杀灭蜱虫。
拜宠爽:滴用后导致蜱神经过度兴奋后衰竭死亡,还可以驱避蜱。
被叮咬及时驱杀
犬巴贝斯虫感染通常发生于蜱虫叮咬10-20天后,急性病例中,感染2-10天出现明显症状。
因此,及时驱除蜱虫至关重要!可降低巴贝斯虫感染率。
蜱的嘴有倒钩,狗被咬后往往很难摆脱。必须使用驱虫剂来驱除蜱,这样昆虫才能自动退出口腔。直接拉扯会导致蜱口腔断裂,在皮肤中引起炎症。

1)喷剂触杀 叮咬的蜱虫比较多的时候,使用可以驱除蜱虫的喷剂,可以快速去除多余的虫子(感染蜱虫后使用药物对着蜱虫直接喷洒),直击蜱虫,可以让多数蜱虫麻痹自动脱落。
2)麻痹虫体 停留在狗狗皮肤上的蜱虫,可用氯仿、乙醚、煤油、松节油、凡士林油或旱烟涂在蜱头部,这些东西会堵塞蜱虫身上的呼吸孔,等蜱窒息后自然从皮肤上落下死亡。


PS:非蜱虫传播的巴贝斯虫病,主要是狗狗互相打斗出血,以及输血而感染,所有也要注意防范。
#宠物温情时刻#
#萌宠小戏精#
参考资料
1. 刘斌、孟建飞、王俊亮、赵育芳 兽医导刊 -2014年10期
2.一例苏格兰牧羊犬蜱虫叮咬的病例 邵丽晓,李志刚 《特种经济动物》-2017年04期
3.犬巴贝斯虫病的诊治经验 陈金泉,余机旺 中国工作犬-2013年08期
4.流行病学及犬巴贝斯虫病诊治措施 何士根,王一青《浙江畜牧兽医》-2013年06期
5.犬吉氏巴贝斯虫病的临床诊断与治疗 魏莉 2014
6.https://www.petmd.com/dog/conditions/infectious-parasitic/c_multi_ticks
7.http://www.langfordvets.co.uk/diagnostic-laboratories/services/mdu-pcr-acarus/list-acarus-tests/diseases-transmitted-ticks
8.https://commons.wikimedia.org/wiki/File:Babesia-canis-dog.jpg

