狗狗牙黄还口臭?是牙结石惹的祸,主人可以自己给狗狗去牙结石
养了狗以后,家里味道难闻?是狗狗身上散发出的体味?不不不,也可能是狗狗口臭!
口臭的狗狗,就像一台24小时开启的臭味制造机,它的每一次呼吸对主人来说都是折磨。
很多铲屎官想不通,为什么会这么?当年那个软糯可爱,萌蠢又香香的小可爱,如今怎么就变成了臭味制造机?
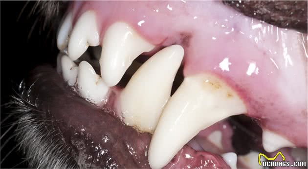
铲屎官们,请你们掰开狗狗的嘴看一看,看看狗狗的犬齿,牙根部位,是否有发黄的结晶,并且用手抚摸会有砂瑟感,这就是让狗狗口臭的罪魁祸首:牙结石。
什么是牙结石?
牙结石产生的缘由非常简单:狗狗在日常用餐时,食物残留会停留在狗狗牙齿缝隙中,进而日积月累便会产生牙结石,年纪越大的狗狗,牙结石多。
实际上人们也会出现牙结石,可是由于人们有涮牙的习惯性,因此人们不可能发生牙结石,由于每日残余在人类牙齿间隙里的食物残留,都被软毛牙刷清掉了,但是狗狗们不刷牙,因此绝大多数狗狗2岁之后,都是会有牙结石。
牙结石给狗狗带来的危害,症状最明显的就是口臭,那种臭一般人无法理解,狗狗的口水是臭的,狗狗呼出的气息是臭的,仿佛整个狗都是臭的一样。
而且牙结石还会继续让狗狗牙龈发炎,造成狗狗牙齿脱落,乃至提早掉下来,但是针对狗狗而言,没牙就相当于没了性命。
如何去除牙结石
小编之所以掌握狗狗的牙结石?由于我被自身养的狗狗的口腔异味吃惊到了,真是太臭了,接着为了更好地维护保养狗狗品牌形象,跟家中的气体,只有跟狗狗的牙结石进行抗争。
查询很多资料后发现,去除狗狗牙结石的方法就那么几种,例如刷牙,但是刷牙只能预防牙结石,对已经有牙结石的狗狗作用不大。
第二个办法是去宠物诊所看医生去除,资询宠物医师后,获知给狗狗去除牙结石必须麻醉剂,反复想了想,去个牙结石还需要麻醉剂?如何想怎么不高兴,因此舍弃!
后来笔者自己尝试用工具给狗狗去除牙结石,幸运的是成功了,回头想了想,其实并不难!
准备工具
在给狗狗去除牙结石前,饲主必须自个提前准备2个人们用的牙医工具,不贵,在网上有卖。
第一个叫:钩针工具。
第二个叫:小铲刀。
去除过程
将你的狗狗叫到身边,主人盘腿坐在地上,将狗狗的头放在主人怀里,左手掰开狗狗的嘴,右手拿工具。
沿着下面的图红色箭头的方位用力,用软件将狗狗的牙结石刮下就可以,必须留意的是,牙结石是黏连在狗狗牙上的,并不坚固,因此主人家不用太用力。

自己动手给狗狗去除牙结石的注意事项:
留意,别用蛮干,用力过大,很有可能会伤着狗狗,学好应用巧劲,渐渐地试着。
一定要控制你的狗狗,一旦狗狗乱动,可以使用零食安抚。
去除牙结石全过程中,狗狗牙床有可能会出血,这不是问题。
别惦记着一次给狗狗把牙结石去除整洁,可以把给狗狗去除牙结石作为探宝手机游戏,分4-5次来。
去除完牙结石后应该注意保养
给狗狗去除完牙结石后,要不了几天狗狗的口臭问题会慢慢消失。
猫奴在日后的日里头,每星期至少要给狗狗刷牙漱口一次,避免狗狗牙再度造成尿结石。
还可以隔三差五,给狗狗生骨骼啃,也可以有效的去除和防止狗狗牙结石,一定如果生骨骼。
?请各位铲屎官谨记,给狗狗去除了牙结石,并非一劳永逸,去除后的预防,跟良好是刷牙习惯,才是防止狗狗牙结石再生的重头戏。

