狗狗必须要断尾吗?
狗狗必须要断尾吗?

断尾好吗?以前,看到没有尾巴的狗狗也感到奇怪和不解。后来,才知道并不是狗狗没有尾巴,而是它们在很小的时候就接受了“断尾手术”,所以长大后看起来像没有尾巴一样。断尾多是在幼犬时期完成的,方式通常有两种,一种是在想要断尾的位置系紧绳子,等待后半部分因供血不足坏死,从而自然脱落。

猫咪绝育针麻与气麻的对比
猫咪绝育针麻与气麻的对比

绝育是很多养猫家庭的选择。绝育有好处也有坏处,只是相对而言,绝育更有助于猫咪的健康。绝育中,主人最关心的就是安全问题了,有很多猫咪在手术的过程中死亡,导致主人不敢轻易的带猫咪去做绝育,其实,导致猫咪死亡的主要是麻醉的问题。

你的狗狗有脚蹼吗?又意味着什么?让你喜忧参半
你的狗狗有脚蹼吗?又意味着什么?让你喜忧参半

其实一些有蹼足的狗狗,因为不能正常行走,会造成脊柱侧弯,或者产生骨折的情况,一般情况下,兽医是不建议采用手术治疗的。除非狗狗的蹼足比较严重并引起了一些并发症,比如骨骼的压迫导致呼吸不顺畅,诱发肺炎等等,要是是这样,兽医师才会建议进行手术矫正...

狗狗有泪痕很严重怎么办,6种原因逐一排查,解决很简单
狗狗有泪痕很严重怎么办,6种原因逐一排查,解决很简单

解决办法:鼻泪管堵塞分成先天与非遗传性,天生泪管堵塞必须做手术,后天性阻塞用滴眼液清洗输通或多做眼部按摩手法就能够保持泪管顺畅。原因4:不留意眼周环境卫生如果狗狗的眼睛卫生宠物不能保证,那么狗狗更容易因为脏东西刺激或眼睛发炎而流泪,留下难看...

是什么病让狗狗苦不堪言?快来看看吧
是什么病让狗狗苦不堪言?快来看看吧

三、犬便秘的防治措施:根据狗狗的便秘病情,能够经过口服泻剂、灌肠或手术治疗。一。对于原发性便秘,主要疏通肠道,促进排便。可用温肥皂水、甘油或液体白蜡(5-30ml)灌肠。但灌肠时,压力不宜过高,否则容易引起直肠壁穿孔。服泻药,如硫酸钠(或硫...

戒掉这5个发胖“恶习”,让狗狗的体重,慢慢降下来
戒掉这5个发胖“恶习”,让狗狗的体重,慢慢降下来

现在人们的生活条件好了,就连养狗都会给狗吃好穿好,导致现在越来越多的狗狗变胖,可是这其实不利于狗狗健康。希望宠主们能戒掉这些发胖“恶习”,让狗狗的体重,慢慢降下来。1、喂食量不固定有些主人有时给狗喂得更多,有时更少。

比熊犬脸上老是有泪痕,脏兮兮的难看死了,有什么办法除洁净?
比熊犬脸上老是有泪痕,脏兮兮的难看死了,有什么办法除洁净?

可是不少的宠主都不会选择给比熊犬做手术,毕竟伤害太大了,因此宠主也就只能从其他方面想尽办法去除泪痕。双雄犬耳道感染后,会不由自主地抓伤耳朵,刺激泪腺分泌。当过多的泪液不能从鼻泪管排出时,就会从眼角溢出,形成泪痕。所以宠主平时就需要给比熊犬多...

狗狗断尾手术之一,有点残忍,有点痛!
狗狗断尾手术之一,有点残忍,有点痛!

上回我们有说过,对于中国的审美来说,最美的狗狗体型是不应该有尾巴的,所以许多狗狗都会进行断尾的小手术。当然,狗狗断尾是年龄段最好就是出生后4-7天会比较合适,此时尾巴的神经还没有完善,不会感到痛感,可是要是一旦长大之后再做,就有可能刺激到狗狗的神经,到时心理障碍等问题出现。

大狗,你的胃扭转了
大狗,你的胃扭转了

胃扭转,必须马上手术。院长起身,吩咐众人。女主人还试图和院长做一个理论,这有可能追究责任并要求赔偿。一向文雅的院长很少受到冷遇:是吵架还是杀狗?主人即刻放手闭嘴。胃扭转,简称GDV,又称胃扭转。人们也可能患有这种疾病。GDV是急诊,每分每秒...

狗狗得了子宫蓄脓太遭罪!主人后悔没早点带去绝育
狗狗得了子宫蓄脓太遭罪!主人后悔没早点带去绝育

相信养狗的朋友们经常会听到医生或者养宠的朋友们说到“子宫蓄脓”,也有很多宠物主人在狗狗7-8个月的时候,常常会被医生告知:最好抽时间给狗狗做绝育手术。尤其是母犬,医生会说,早点手术,防止以后年龄大了,狗狗生各种妇科疾病。

忠心护主,还能嗅出癌症?狗果真是人类最好的朋友
忠心护主,还能嗅出癌症?狗果真是人类最好的朋友

痣切除手术后的检查结果令人大吃一惊,这颗痣是恶性黑色素瘤,是一种致命性皮肤癌。因为发现得早,这位女性保住了性命。从某种意义上说,是她的狗救了她一命。医生据此推断,狗也许能嗅出癌症。随后,对类似事件的报导就变得多了起来。也慢慢传出这样的说法。...

辟谣!狗狗得白内障一定会眼瞎?眼药水只能缓解,手术治疗是关键
辟谣!狗狗得白内障一定会眼瞎?眼药水只能缓解,手术治疗是关键

三、治疗白内障,眼药水只能缓解,手术治疗是关键1、非手术治疗因为白内障的手术费用昂贵,很多主人会自己在家给狗狗滴一些眼药水,兽医小明不建议大家这么做。一是难以用肉眼直接判别白内障的病程发展,会耽搁病情;二是只有一般老年性、糖尿病并发性白内障...

狗狗的脐疝,为什么不建议在六个月之前做手术修复呢?
狗狗的脐疝,为什么不建议在六个月之前做手术修复呢?

竞猜环节:有猜是肿瘤的、有猜是乳头发炎的、有猜是肉疙瘩的、也有因为胆大用手摸到是一个窟窿的,也许大家觉得我在讲笑话,其实这是真实的宠物主人咨询案例,也正是因为这样的不懂,才让本来不需要手术治疗的狗狗挨了一刀。狗狗肚脐部位出现的这个鼓鼓的小软...

不只人需要洗牙,宠物也是需要洗牙,您的爱宠洗过牙吗?
不只人需要洗牙,宠物也是需要洗牙,您的爱宠洗过牙吗?

当人们洗牙时,他们是清醒的,可以在没有麻醉的情况下完成整个手术。毕竟猫和狗是动物。他们不明白这对他们有好处。除了超声波洗牙机的吱吱声和高频振动外,动物还会感到不安。如果不需要麻醉,不仅无法完成洗牙手术,而且容易受伤,所以要给猫狗洗牙,一般建...

狗狗绝育要经历什么?起码得要这7步,狗狗绝育手术全过程
狗狗绝育要经历什么?起码得要这7步,狗狗绝育手术全过程

当你打算带狗狗去绝育了,但是却很担心狗狗绝育的过程会不会有很大风险?狗狗绝育到底要经历什么?不着急,我们这就为你讲述狗狗绝育手术的过程。1、给狗狗擦洗准备开始狗狗绝育需要全身麻醉和吸入(气体)麻醉,宠物医生们也常在手术中给病人静脉输液、监测心率和呼吸频率、血压、血氧饱和度...

宠物养护知识:泰迪犬怀孕那些事,做好这四项工作,生出健康小泰迪犬
宠物养护知识:泰迪犬怀孕那些事,做好这四项工作,生出健康小泰迪犬

严重情况下必须手术处置,而怀孕和哺乳期的母狗是不适合做手术的!(所以,从幼犬小时候,使用脖圈较好。)卫生清洁注意女泰迪的健康,每天保持她的清洁。注意母犬乳房周围的情况,用手指轻轻抚摸乳房,检查乳房是否正常。别把你的狗和狗窝里的狗相比。你的泰...

狗狗来大姨妈,送去医院检查,原来是子宫蓄脓,没绝育惹的祸
狗狗来大姨妈,送去医院检查,原来是子宫蓄脓,没绝育惹的祸

因为狗狗反复发烧,宠狗狗打了消炎药跟退烧药,并安排吊液,休息一周后,再让主人带狗狗来复检,要是身体指标合格,可经过手术治疗。不幸的是,在一周后的检查报告中,狗同时患有糖尿病、高血压等生活习惯疾病,身体基础太差,狗老了,所以手术麻醉的风险很大...

猫咪绝育你担心哪些问题?
猫咪绝育你担心哪些问题?

猫咪绝育可以预防很多疾病,如宫颈病、子宫癌、乳腺癌等等,猫咪做了绝育手术可以大大的降低这些疾病的发生,而很多饲主对于猫咪绝育手术感到不安,有很多的顾虑,下面就为大家一一解答你们所有的担心问题。一、绝育手术需要照顾很久吗?

绝育会让猫狗灭绝吗?|关于绝育的好与坏,你需要了解的都在这儿
绝育会让猫狗灭绝吗?|关于绝育的好与坏,你需要了解的都在这儿

给不给自己的宠物做绝育,会涉及到很多问题。比如:一、什么是宠物绝育?二、为什么要给它们做绝育?三、推行绝育,猫狗会灭绝吗?四、做绝育有什么好处?五、绝育是否有风险?六、猫咪大概多大做绝育较为合适?七、怀孕了是否可以做绝育手术

狗狗脸部肿起好像猪脸,救援队员走近一看心里发慌,只能进行手术
狗狗脸部肿起好像猪脸,救援队员走近一看心里发慌,只能进行手术

于是几个医疗人员决定给狗狗进行手术,将浮肿的地方放血,让狗狗脸部先消肿!狗的脸被剃光了,露出了下面的皮肤。兽医准备了一个手术,把狗彻底放血。幸运的是,这条狗得到了及时治疗,否则将危及生命。治好淤血后,兽医立即用医用水清洗狗的伤口。这条狗基本...

关于猫咪绝育这些八大认识是错误的
关于猫咪绝育这些八大认识是错误的

在给宠物做绝育的问题上,我们可能在认识上存在很多的误区,猫友们也各有自己的认为,有的支持有的反对,那么给猫咪做绝育到底好不好呢?下面小编带着大家了解一下关于猫咪绝育我们有哪些认识是错误的。误区一:猫咪绝育手术很残忍每年都有不少的猫咪因为种种原因被主人抛弃...

狗子的眼睛其实很脆弱!
狗子的眼睛其实很脆弱!

2\、手术切除的第三眼睑腺可引起干眼症,第三眼睑可分泌约40%的泪液。3、动物年老 泪腺逐渐萎缩也会引起狗狗干眼症。4、自体免疫引起高达30%自发性引起的干眼症,与自体免疫破坏泪腺和第三眼睑腺有关。5个。泪腺和第三眼睑损伤或负责泪腺和第三眼...

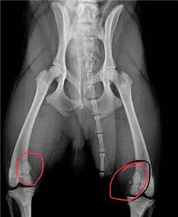
狗狗走路跛脚?多是膝关节异位,介绍自查狗狗膝关节异位方法
狗狗走路跛脚?多是膝关节异位,介绍自查狗狗膝关节异位方法

膝关节异位处置膝关节1-2级异位症无需手术治疗,可通过药物和物理治疗加以控制。主人可以限制狗跳跃、骑或站立。狗在剧烈奔跑时应该少做一些动作,因为这些动作会使狗的膝盖非常硬,增加狗膝盖的负担。此外,一些止痛药也可以缓解狗的疼痛。3~4级已经属...

幼犬也会得白内障?做手术也不一定有用,可能反倒让狗狗失明
幼犬也会得白内障?做手术也不一定有用,可能反倒让狗狗失明

到这时狗狗就只能经过手术来恢复视力,与治疗人类白内障的手术类似,都是采用超声波乳化技术将晶状体震碎后取出,接着再换上人工晶体。但要是狗狗白内障是炎症引起的,宠物医生其实不建议给狗狗做手术,否则会加剧狗狗的病情,并且一旦手术失败,狗狗也会完全...

什么是狗狗关节炎?关节炎的危害你知道吗?狗狗关节炎保护全手册
什么是狗狗关节炎?关节炎的危害你知道吗?狗狗关节炎保护全手册

有些轻度髋关节发育不良可用药物治疗,而重度髋关节发育不良则需要手术治疗。对于patez病,手术是切除坏死股骨头的唯一治疗方法。膝盖骨脱位可以手术治疗,但它是遗传性髋关节发育不良。对于成年犬来说,十字韧带撕裂通常是因为太重造成的,但一些品种的...

法国斗牛犬常见的5种疾病,终于知道为什么部分人不敢养了!
法国斗牛犬常见的5种疾病,终于知道为什么部分人不敢养了!

当然第三眼睑也可经过手术来将其根治,并且这类手术的危险系数不高,只要狗狗能够耐得过麻药的话,一般不会出现什么问题。疾病二、皮肤病法国斗牛犬看起来又傻又可爱,因为它身上有很多褶皱,很容易含有污垢和细菌。如果主人没有做好卫生和清洁工作,法国斗牛...

女子收养的狗常常闻自己腋下,去医院检查后哭出声:它救了我的命
女子收养的狗常常闻自己腋下,去医院检查后哭出声:它救了我的命

但侥幸的是,这一次因为狗狗的提醒,癌症复发初阶段就被检查出,随后就进行了手术。因为及时发现,癌细胞没有扩散到淋巴结,乔安妮手术后已经康复,这真是一件幸运的事。Joanne从医院赶回去后,做的第一件事就是给了Menios一个大大的拥抱。\\“...

狗狗脸部肿胀了怎么办?想要解救肿成猪头的狗狗,要先弄清楚原因
狗狗脸部肿胀了怎么办?想要解救肿成猪头的狗狗,要先弄清楚原因

根据不同的病因,兽医可能需要对狗狗进行拔牙或其他口腔手术。狗狗可能会需要接受抗生素治疗,以防止造成感染。如果面部或头部有损伤,治疗方法取决于损伤的严重程度,这需要X光的帮助。当狗出了事故,主人应该先做必要的急救工作,然后立即去兽医那里。治疗...

聊聊关于狗狗绝育的那些事儿
聊聊关于狗狗绝育的那些事儿

说实话,养狗是一件挺操心的事,在它身上花费的精力丝毫不亚于在小孩子身上花费的精力。从狗狗出生就需要为它操心各种各样的事情,发情期还要想到给狗狗做绝育手术。很多朋友不了解狗狗绝育手术,今天小韩就来和大家聊聊关于狗狗绝育的那些事儿。

短鼻狗狗看着可爱,却是手术室常客,短鼻是它们大部分疾病的根源
短鼻狗狗看着可爱,却是手术室常客,短鼻是它们大部分疾病的根源

有的时候一些短鼻犬为了能够正常呼吸,还需要特地进行鼻孔扩张的手术。细长的软腭:软腭是狗狗抠像顶部的软组织。短鼻犬的软腭细长,甚至可能延伸到喉咙后部,导致气管堵塞。发育不全的气管:短鼻犬气管发育不全的情况其实不少见,它们的气管可能比正常气管要...

宠物医生给狗狗做手术的时候,他们都在聊些什么呢?
宠物医生给狗狗做手术的时候,他们都在聊些什么呢?

我想不管是养猫咪、还是养狗狗的主人,它们最好奇的地方,一定是宠物医院的手术室,当狗狗或者是猫咪被抱进手术室的时候,主人在外面努力的想听清楚里面在说什么,坐在椅子上不断的幻想着里面的场景,可是常常听不到任何声音...

看到狗狗的手术取出的膀胱结石,主人对自己的饲养方式后悔不已
看到狗狗的手术取出的膀胱结石,主人对自己的饲养方式后悔不已

诊断结果:狗狗膀胱结石,目前已经到了不手术不行的地步,因为结石已经把膀胱占满了,长时间下去会导致膀胱括约肌受损,最后导致尿失禁。治疗方案:手术治疗,当把狗狗膀胱里面的结石取出来,给主人看的时候,主人一脸不可思议的表情,随后留下来心疼的泪水。...

狗瘫痪后,主人用这些护理知识和自制小车撑起的是它活下去的尊严
狗瘫痪后,主人用这些护理知识和自制小车撑起的是它活下去的尊严

(比如腰椎病经过手术或者针灸很多狗狗恢复了行动自由,比如肿瘤压迫神经,切除后一段时间,狗狗行走比之前要自如)中毒性中毒性犬麻痹,通常包括大鼠药物中毒、农药中毒、食物中毒等,其毒素可损伤犬脑神经,或引起出血导致犬各器官缺血坏死,或可迅速引起进...

实用:宠物外伤出血,主人该如何现场急救
实用:宠物外伤出血,主人该如何现场急救

出血一般能够分为内出血和外出血内出血,指的是狗狗体内组织器官的血管破裂出血,比如肝脏、胃、脑等,诱因常常是高处摔伤或者车祸,这类出血第一时间非常难被发现,需要在乎外发生的24~48小时密切察看才能确诊/排除,大部分要靠药物甚至手术止血,这类...

身体素质较差的两种狗狗
身体素质较差的两种狗狗

只有通过手术才能改善。\②犬的关节容易出现问题,用打斗的方法打狗的髋关节容易发育不良,过度运动也容易引起畸形。因此,采用格斗方式的狗不适合剧烈运动,只适合轻微行走,甚至上下楼梯。没有一定的运动量,用打斗的方法打狗的身体素质自然不好。\③过敏...

让自己主人给玩伴动手术,狗狗还皱着眉看手术过程,就像待产一样
让自己主人给玩伴动手术,狗狗还皱着眉看手术过程,就像待产一样

毛孩子在心态和智商上面,和普通的孩子没有太大的区别。只要是它们喜欢和珍爱的东西,就一定要放在自己的身边才能安心。即使是看起来粗犷的斗牛犬也是这样的。斗牛犬Draco是主人艾莉(Allie O'Cain),最近,它最喜欢的一个毛绒枕头,因为玩耍而被弄坏了,在主人给枕头进行手术的时候...

没绝育的代价|母狗子宫蓄脓,了解了这些问题后再决定如何治疗
没绝育的代价|母狗子宫蓄脓,了解了这些问题后再决定如何治疗

其实子宫蓄脓对于很多宠物主人不是太陌生,可是它每次被说起都是因为绝育的相关问题,而不是因为子宫蓄脓这个疾病,子宫蓄脓是一种很危险的疾病,特别是它的内毒素和败血症中毒,致死率是十分高的一种现象,甚至很多手术治疗子宫蓄脓失败都是由它引起的。正常...

一例猫隔疝的手术治疗
一例猫隔疝的手术治疗

二、发病及诊断之后,主人带着猫咪到动物医院给这只猫做绝育手术。医师检查后告知主人那只公猫患有严重的膈疝,简单的说就是分隔胸腔和腹腔的一层肌肉撕开了一个大口子,撕裂口大概有20cm长,口子非常大,只是它发生在腹腔内,咱们肉眼看不到而以。而横膈...

小型犬常见的气管塌陷,只能做手术帮狗根治,你还不预防吗?
小型犬常见的气管塌陷,只能做手术帮狗根治,你还不预防吗?

气管塌陷要完全根治,几乎只能仰赖手术。狗主人只能靠着多注意狗狗的生活,来尽量避免气管塌陷的发生。第一件事,用胸背带替换狗狗的项圈,这将有助于减少气管的压力。温和的运动如散步是最好的,应该避免过度兴奋。轻度至中度气管塌陷通常用镇咳药、抗痉挛药...

狗狗腿部受伤,要是做了手术,主人该如何护理狗狗?
狗狗腿部受伤,要是做了手术,主人该如何护理狗狗?

狗狗大多天生活泼,一出门玩耍就跟疯了一样四周乱窜,有的甚至会去追猫咪或者车辆。这些特点反而会让它们摔伤,甚至出车祸。即使在家,狗狗也可能跑得太快,不小心撞到家具造成腿部受伤。而狗狗腿伤最糟糕的情况,便是要动手术才能康复。

<< 2 3 4 5 6 7 89 10 11 >>